
A broken toe is a fracture of one or more of the small bones in the toe, often resulting from sudden trauma. Common causes include a heavy object falling on the foot, or forceful stubbing against furniture or hard surfaces. Symptoms usually involve pain, swelling, bruising, and difficulty walking. Discolored toenails may appear when bleeding occurs beneath the nail. Diagnosis is typically made through a physical exam and imaging, such as X-rays, to confirm the fracture and its severity. Risk factors include sports activities, poor footwear protection, and balance issues. If you have symptoms of a broken toe, it is suggested that you promptly consult a podiatrist who can provide an accurate diagnosis, stabilize the toe, manage pain, and guide proper healing.
Broken toes may cause a lot of pain and should be treated as soon as possible. If you have any concerns about your feet, contact one of our podiatrists from Highlands Foot and Ankle. Our doctor will treat your foot and ankle needs.
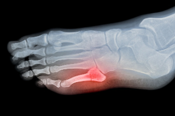
What Is a Broken Toe?
A broken toe occurs when one or more of the toe bones of the foot are broken after an injury. Injuries such as stubbing your toe or dropping a heavy object on it may cause a toe fracture.
Symptoms of a Broken Toe
- Swelling
- Pain (with/without wearing shoes)
- Stiffness
- Nail Injury
Although the injured toe should be monitored daily, it is especially important to have a podiatrist look at your toe if you have severe symptoms. Some of these symptoms include worsening or new pain that is not relieved with medication, sores, redness, or open wounds near the toe.
If you have any questions please feel free to contact our office located in Waco, TX . We offer the newest diagnostic tools and technology to treat your foot and ankle needs.
